HOME
院長・スタッフ
院内ツアー
診療科目
むし歯治療
歯周病
親知らずの抜歯
根管治療
小児歯科
インプラント
入れ歯
矯正歯科
白い詰め物・被せ物
ホワイトニング
歯のメンテナンス
症例集
料金表
診療時間・アクセス
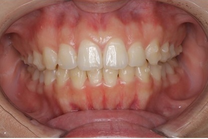
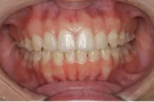
ortho_case_2_a4
ortho_case_2_a4 2
ortho_case_2_a4
[2020年11月02日]