与野駅東口徒歩3分の歯医者【与野歯科・矯正歯科】平日20時まで、土曜・日曜・祝日も診療

case

case

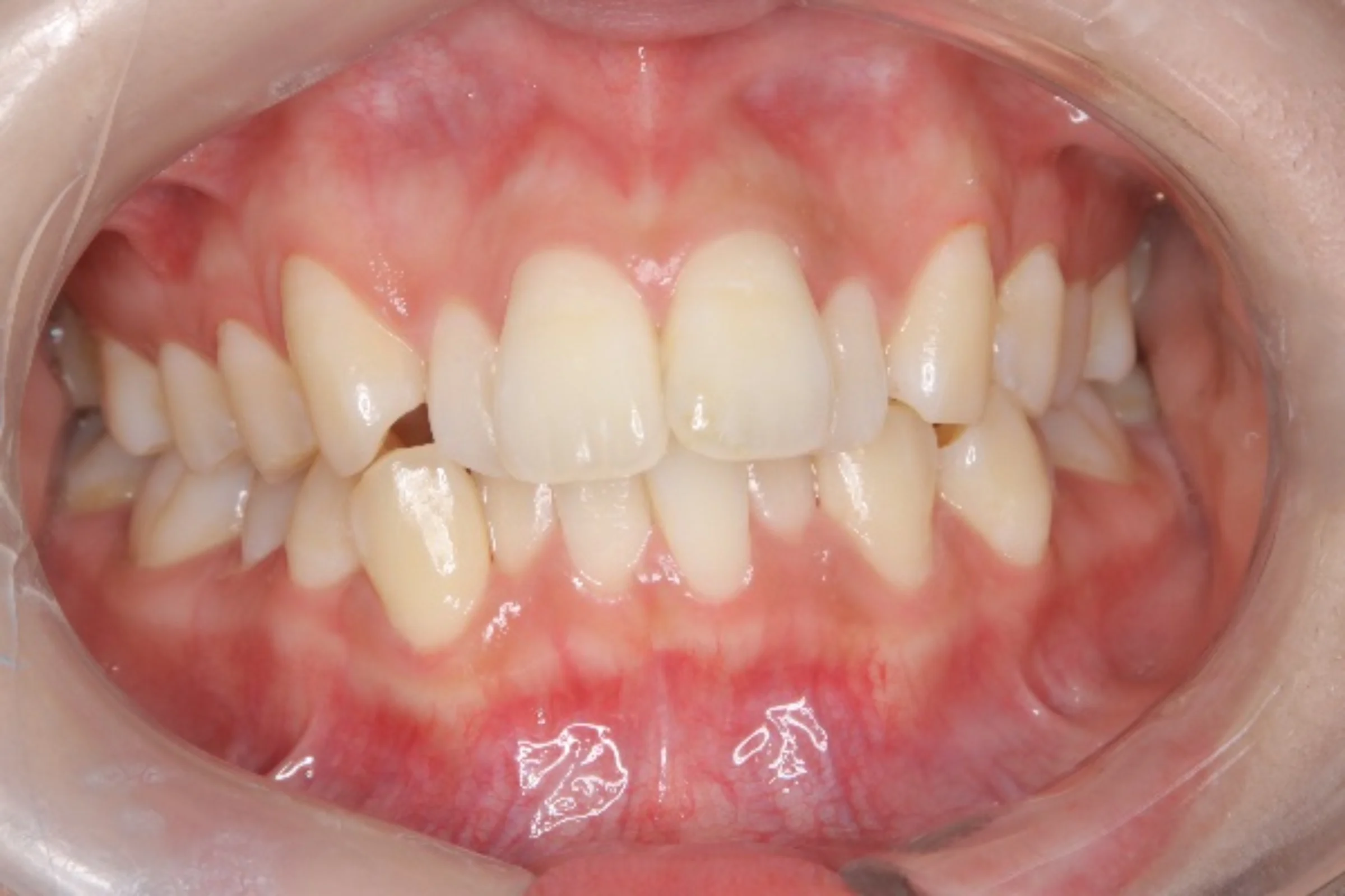
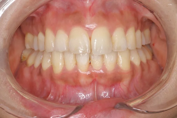
  • インビザライン矯正治療 症例.1

    ご来院までの経緯

    前歯の凸凹だけが気になる
    できるだけ価格を抑えたプランがいいということで複数の医院で相談をしてみてから決めたいとのことでご来院いただきました。

    Before

    After

  • インビザライン矯正治療 症例.2

    ご来院までの経緯

    歯の凸凹が気になる、前歯で噛みきれないので矯正治療をしたいということで来院された患者様です。できるだけ目立たない、痛くない装置がご希望ということでインビザライン治療を選択しました。

    Before

    After

  • インビザライン矯正治療 症例.3

    ご来院までの経緯

    下の前歯の凸凹が気になる、前歯が出ている感じも治したいということで来院された患者様です。できるだけ目立たない、痛くない装置がご希望ということでインビザライン治療を選択しました。

    Before

    After

  • インビザライン矯正治療 症例.4

    ご来院までの経緯

    下の前歯の凸凹が気になる、上前歯2本が出ている感じも治したいということで来院された患者様です。
    仕事柄接客業で、できるだけ目立たない、痛くない装置がご希望ということでインビザライン治療を選択しました。

    Before

    After

  • インビザライン矯正治療 症例.5

    ご来院までの経緯

    前歯が一本だけ内側に入ってしまっていて、そこだけ治療をしたいということでご来院されました。

    Before

    After

  • インビザライン矯正治療 症例.6

    ご来院までの経緯

    前歯が上下で反対になっている、笑った時の空隙が気になる。
    できるだけ装置が目立たないものを希望されました。

    Before

    After

  • インビザライン矯正治療 症例.7

    ご来院までの経緯

    前歯のガタつきが気になる。
    抜歯はできるだけしたくない、とのことでご来院されました。

    Before

    After

case

準備中

case

準備中